2024-06-28 11:23 点击次数:197

什么是“正畸正颌纠合颐养”?
济南市口腔病院正畸科
对于牙齿转变,民众可能都比拟练习,说通俗一些即是“戴牙套”,关联词,不是总共的牙齿错颌荒唐都不错通过“戴牙套”措置,今天咱们来说一下,那些牙齿转变弗成措置的错合荒唐应该奈何办。
总共的牙齿转变都基于牙齿在牙槽骨中正确迁徙,若是牙齿摆列有问题,高下颌骨也有问题,这种情况就需要进行“正畸正颌纠合颐养”,主要分为两种类型:一种是严重的“嘴突”,莫得下巴颏,上颌骨发育严重前突,下颌骨发育不及,严重后缩,导致前后牙齿距离较远,所谓的“深覆合深遮蔽”;另一种是严重的“地包天”,上颌骨发育不及,面中部凹下,下颌骨前突,下巴颏“前翘”,导致“上牙盖不住下牙”。
以上两种情况不仅需要牙齿转变,还需要正颌手术,即在正颌手术前后都需要牙齿转变,是以,“正畸正颌纠合颐养”至极于在牙齿转变中间加一次正颌手术。有的东说念主会问“既然都要手术了,为什么还要作念转变呢?”,术前正畸转变的策画是将牙齿排王人整王人,将高下牙齿迁徙到牙槽骨最正确的位置,因为高下颌骨的问题一般作陪高下牙齿的歪斜度很是存在,是以断根牙齿的代偿是术前正畸转变需要措置的问题。正颌手术后也需要正畸转变,因为手术后需要再行栽种高下牙列正确的咬合辩论,该辩论是患者之前口腔里莫得过的位置,是以需要高下牙列栽种新的正确的咬合,正畸更恰是必不可少的。
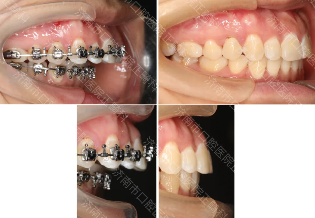
病例一
“地包天”正畸正颌前后对照


病例二
“龅牙”“嘴突”正畸正颌前后对照



医师先容:尹晓青,济南市口腔病院正畸科主治医师,口腔正畸学硕士,中华口腔医学会正畸专委会会员;隐适好意思认证医师,时间天神认证医师;世界后生医师优秀病例赢得者。擅长牙齿不王人、龅牙、地包天矫治,正畸正颌纠合矫治,隐形矫治;早期错合荒唐干扰,包括乳齿期、替牙期和恒牙早期孕育发育指点,对错颌荒唐有特有的心得和颐养教会。
门诊时分:周二、四、七全天
盘问电话:0531-86261970
通信员:靳淑梅
源头:正畸科


微信号|jnskqyy
Powered by kaiyun体育网页版登录·官方网站 @2013-2022 RSS地图 HTML地图
Copyright Powered by站群 © 2013-2024